A Return to Port
A poke in the chest
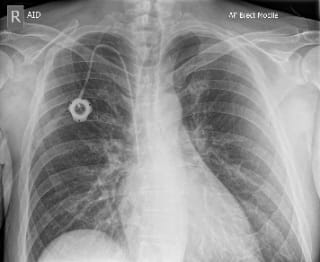
The circular thingy visible in my X-ray above is called a Portacath1, a type of implanted venous access device.
It is used instead of the more familiar cannula to deliver drugs into the bloodstream and to collect blood. The portacath stays in place for many months which is advantageous for having frequent, repeated, continuous or at-home cancer treatments. It’s a semi permanent interface between the outside world and the bloodstream.
The portacath consists of two parts: a hard walled body with a silicone pad in the middle, and a flexible tube which runs inside a vein from the port location to just above the heart. Accessing these devices requires strict adherence to aseptic technique to prevent bloodstream infections especially as patients are already vulnerable.
Port access is the most unpleasant part of my treatment. A nurse pushes a specially designed needle2 through the skin and into the middle of the silicone pad. The needle is typically 20 mm long, with an outer diameter just over 1 mm, about 40% thicker than needles used for blood tests. It only stings momentarily but is unpleasant enough. Even if the pain is mostly psychological you would rather not go through it, unless you enjoyed regularly having your chest pierced by a nail.
After having my port accessed more than a dozen times since last May one nurse asked if I ever used the patch which numbs the needle insertion pain. First time I'd been told there was such a thing. Yes please I did want it. And thanks, it works very well.
I recently purchased some to self administer if needed, but forgot to take one with me when admitted to the hospital with a fever again this week. So I requested the same. But the ER nurse said that was for little children, she didn't have time, they were busy, I needed to go for a CT scan promptly, she would be careful, this won't hurt a bit. She connected the port to extract blood for a culture. Ouch.
Based on my limited experience she seemed to miss some of the steps around priming the port3. I’m sure there was a valid reason. But the blood wasn't flowing and just slowly bubbled along the line. A more senior nurse came in and said she'd need to start over. Ouch doubled.
I dedicate this song to all the nurses out there who are trained in Portacath access. There is more than enough shameful early 90s on display here. Shameful because that is who I not so secretly aspired to be at the time. Including the shorts, boots, hair, bandana and guitar technique. Thankfully I left that behind, although Jack Black didn't seem to.
Access my blog playlist at https://open.spotify.com/playlist/4y14BZTe1GcIepRc3GDE74
e-venous-access-device-TIVAD-PI.pdf
https://www.sssaustralia.com.au/1106318-porta-cath-huber-needles-20g-x-25mm-90-degree-angle-box12
https://www.sssaustralia.com.au/1106318-porta-cath-huber-needles-20g-x-25mm-90-degree-angle-box12



Another nurse confirmed the patches weren't just for children, men used them too.
😂
Had my Portacath for four years now. I love it!
So much do I love it that I often say to the nurses that I can do this myself at home and save us all a bit of time.
But I seem to have a high pain threshold.